すべて
レンタルラボ
バイオ レンタルラボ
BSL2 (P2) バイオ レンタルラボ
BSL1 バイオ レンタルラボ
動物実験室 バイオ レンタルラボ
その他 バイオ レンタルラボ
化学 レンタルラボ
その他 レンタルラボ
委託
バイオ 委託
臨床・ヒト バイオ 委託
動物・マウス バイオ 委託
細胞・その他 バイオ 委託
化学 委託
その他 委託
機器訪問利用
産学連携
有機合成 化学 レンタルラボ
電池化学 化学 レンタルラボ
無機材料 化学 レンタルラボ
その他 化学 レンタルラボ
有機合成 化学 委託
電池化学 化学 委託
無機材料 化学 委託
その他 化学 委託
カテゴリから探す
研究施設・ラボ・実験室の一覧
レンタルラボ
BSL2 (P2)
バイオ BSL1
バイオ 動物実験室
バイオ その他
その他 レンタルラボ
有機合成
電池化学
無機材料
その他 化学
東京 レンタルラボ
神奈川 レンタルラボ
大阪 レンタルラボ
関東 レンタルラボ
委託・受託
臨床・ヒト バイオ実験
動物・マウス バイオ実験
細胞・その他 バイオ実験
その他 実験
有機合成
電池化学 実験委託
無機材料
その他 化学
機器訪問利用
産学連携
コラボメーカーとは
コラボメーカーとは
安心の保険
会社概要
ご利用ガイド
ご利用の流れ
資料ダウンロード
導入事例
ラボを貸す・受託する
会員ログイン
お問い合わせ
お問い合わせ
カテゴリから探す
研究施設・ラボ・実験室の一覧
レンタルラボ
BSL2 (P2)
バイオ BSL1
バイオ 動物実験室
バイオ その他
その他 レンタルラボ
有機合成
電池化学
無機材料
その他 化学
東京 レンタルラボ
神奈川 レンタルラボ
大阪 レンタルラボ
関東 レンタルラボ
委託・受託
臨床・ヒト バイオ実験
動物・マウス バイオ実験
細胞・その他 バイオ実験
その他 実験
有機合成
電池化学 実験委託
無機材料
その他 化学
機器訪問利用
産学連携
コラボメーカーとは
コラボメーカーとは
安心の保険
会社概要
ご利用ガイド
ご利用の流れ
資料ダウンロード
導入事例
ラボを貸す・受託する
お問い合わせ
資料ダウンロード
中古販売はこちら
開催中の説明会
会員ログイン
TOP
研究施設・ラボ・実験室を探す
委託
バイオ
動物・マウス
デキストラン硫酸ナトリウム誘発潰瘍性大腸炎モデルマウスを用いた評価試験
委託
デキストラン硫酸ナトリウム誘発潰瘍性大腸炎モデルマウスを用いた評価試験
概要
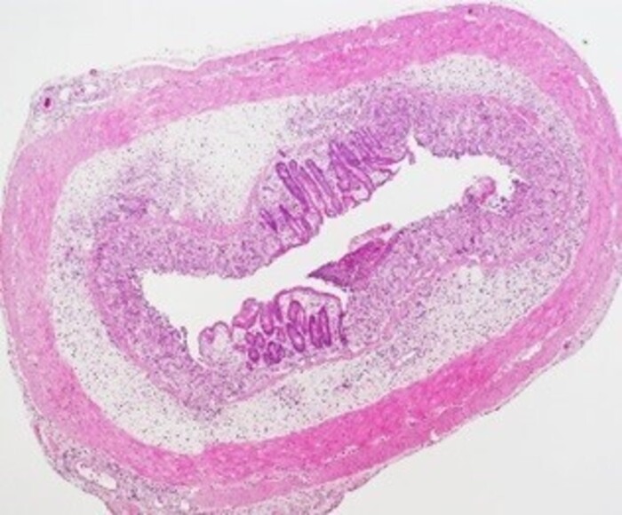
潰瘍性大腸炎は大腸粘膜に炎症が生じて、びらんや潰瘍を形成する非特異的炎症性腸疾患です。当該モデルはマウスへデキストラン硫酸ナトリウム溶液(以下DSS溶液)を飲水させる事で病態を惹起します。試験期間中の大腸炎スコア、摘出大腸の長さ及び重量を主要評価項目としますが、オプションで血液中の炎症性サイトカインや病理組織学的検査を行う事も可能です。
#潰瘍性大腸炎
#非特異的炎症性腸疾患
#大腸炎スコア
#摘出大腸
#炎症性サイトカイン
#病理組織学的検査
詳細・スペック
備考
納期目安
・他にも以下の実施が可能です
ヒトiPS細胞由来心筋細胞を用いた心毒性評価
医療機器の生物学的安全性試験
マルチプレックスアッセイ
ラット脳波測定による睡眠覚醒評価
げっ歯類を用いた疼痛評価
カラゲニン足浮腫モデルを用いた抗炎症作用評価試験
ラットを用いたコットンペレット法による抗炎症作用評価試験
トレッドミル強制走行によるラットの抗疲労効果評価試験
マウス、ラットを用いた腸管輸送能評価
マウス、ラットを用いた歩行解析試験
難治性皮膚潰瘍モデルマウスを用いた薬効評価試験
最短75日
ユーザー登録限定コンテンツ
無料登録で料金など全ての情報を閲覧可能
ユーザー登録(無料)
ユーザー登録済みの方はこちらから
ログイン
利用相談をする
価格は相談により決定
利用相談をする
お気に入りに追加
利用相談をする
おすすめの委託
滋賀県
マルチプレックスアッセイ
滋賀県
医療機器の生物学的安全性試験
滋賀県
ヒトiPS細胞由来心筋細胞を用いた心毒性評価
滋賀県
難治性皮膚潰瘍モデルマウスを用いた薬効評価試験
価格は相談により決定
お気に入りに追加
利用相談をする